Skip to Content
Merck

HPA041311

Anti-GAS8 antibody produced in rabbit

affinity isolated antibody, buffered aqueous glycerol solution

Synonym(s):

Anti-GAS11, Anti-growth arrest-specific 8

Sign In to View Organizational & Contract Pricing.

Select a Size


About This Item

UNSPSC Code:
12352203
NACRES:
NA.43
Human Protein Atlas Number:
Technical Service
Need help? Our team of experienced scientists is here for you.
Let Us Assist
Technical Service
Need help? Our team of experienced scientists is here for you.
Let Us Assist

Product Name

Anti-GAS8 antibody produced in rabbit, affinity isolated antibody, buffered aqueous glycerol solution

biological source

rabbit

conjugate

unconjugated

antibody form

affinity isolated antibody

antibody product type

primary antibodies

clone

polyclonal

form

buffered aqueous glycerol solution

species reactivity

human

enhanced validation

orthogonal RNAseq
Learn more about Antibody Enhanced Validation

technique(s)

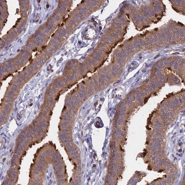
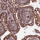
immunohistochemistry: 1:200-1:500

immunogen sequence

VEKKEVQFNEVLAASNLDPAALTLVSRKLEDVLESKNSTIKDLQYELAQVCKAHNDLLRTYEAKLLAFGIPLDNVGFKPLETAVIGQTLGQG

UniProt accession no.

shipped in

wet ice

storage temp.

−20°C

target post-translational modification

unmodified

Quality Level

Gene Information

human ... GAS8(2622)

Biochem/physiol Actions

In primary cilium, growth-arrest specific 8 (Gas8) controls hedgehog signaling and in motile cilia, it contributes to the cilia movement. Mutations in GAS8 are linked with primary ciliary dyskinesia (PCD) in humans.

Disclaimer

Unless otherwise stated in our catalog or other company documentation accompanying the product(s), our products are intended for research use only and are not to be used for any other purpose, which includes but is not limited to, unauthorized commercial uses, in vitro diagnostic uses, ex vivo or in vivo therapeutic uses or any type of consumption or application to humans or animals.

Application

All Prestige Antibodies Powered by Atlas Antibodies are developed and validated by the Human Protein Atlas (HPA) project and as a result, are supported by the most extensive characterization in the industry.

The Human Protein Atlas project can be subdivided into three efforts: Human Tissue Atlas, Cancer Atlas, and Human Cell Atlas. The antibodies that have been generated in support of the Tissue and Cancer Atlas projects have been tested by immunohistochemistry against hundreds of normal and disease tissues and through the recent efforts of the Human Cell Atlas project, many have been characterized by immunofluorescence to map the human proteome not only at the tissue level but now at the subcellular level. These images and the collection of this vast data set can be viewed on the Human Protein Atlas (HPA) site by clicking on the Image Gallery link. We also provide Prestige Antibodies® protocols and other useful information.
Anti-GAS8 antibody has been used in western blotting.

Features and Benefits

Prestige Antibodies® are highly characterized and extensively validated antibodies with the added benefit of all available characterization data for each target being accessible via the Human Protein Atlas portal linked just below the product name at the top of this page. The uniqueness and low cross-reactivity of the Prestige Antibodies® to other proteins are due to a thorough selection of antigen regions, affinity purification, and stringent selection. Prestige antigen controls are available for every corresponding Prestige Antibody and can be found in the linkage section.

Every Prestige Antibody is tested in the following ways:
  • IHC tissue array of 44 normal human tissues and 20 of the most common cancer type tissues.
  • Protein array of 364 human recombinant protein fragments.

General description

Growth-arrest specific 8 (Gas8) is also termed as growth arrest specific 11 (GAS11). It spans around 25 kb and has 11 exons. GAS8 is expressed in various mammalian cells that has no motile cilia. This gene is located on human chromosome 16q24.3. In vertebrate cells, GAS8 is located to the axoneme of motile cilia and also to the base of primary cilia.

Immunogen

growth arrest-specific 8 recombinant protein epitope signature tag (PrEST)

Other Notes

Corresponding Antigen APREST82224

Physical form

Solution in phosphate buffered saline, pH 7.2, containing 40% glycerol and 0.02% sodium azide.

Legal Information

Prestige Antibodies is a registered trademark of Merck KGaA, Darmstadt, Germany

Not finding the right product?  

Try our Product Selector Tool.

Storage Class

10 - Combustible liquids

wgk

WGK 1

flash_point_f

Not applicable

flash_point_c

Not applicable


Choose from one of the most recent versions:

Certificates of Analysis (COA)

Lot/Batch Number

Don't see the Right Version?

If you require a particular version, you can look up a specific certificate by the Lot or Batch number.

Already Own This Product?

Find documentation for the products that you have recently purchased in the Document Library.

Visit the Document Library

Mutation of growth arrest specific 8 reveals a role in motile cilia function and human disease.
Lewis W R, et al.
PLoS Genetics, 12(7), e1006220-e1006220 (2016)
Loss-of-function GAS8 mutations cause primary ciliary dyskinesia and disrupt the nexin-dynein regulatory complex.
Olbrich H, et al.
American Journal of Human Genetics, 97(4), 546-554 (2015)
Ying Liu et al.
Frontiers in genetics, 13, 940292-940292 (2022-07-26)
Objective: Whole-exome sequencing (WES) based copy number variation (CNV) analysis has been reported to improve the diagnostic rate in rare genetic diseases. In this study, we aim to find the disease-associated variants in a highly suspected primary ciliary dyskinesia (PCD)
Heike Olbrich et al.
American journal of human genetics, 97(4), 546-554 (2015-09-22)
Multiciliated epithelial cells protect the upper and lower airways from chronic bacterial infections by moving mucus and debris outward. Congenital disorders of ciliary beating, referred to as primary ciliary dyskinesia (PCD), are characterized by deficient mucociliary clearance and severe, recurrent
Motonao Nakao et al.
Oncology reports, 25(6), 1603-1611 (2011-04-07)
The aim of the present study was to investigate the chromosomal aberrations that are linked with the crucial clinicopathological features of colorectal cancer (CRC) and its prognosis by array-based comparative genomic hybridization (CGH). Fresh-frozen tumor tissues of 94 cases of

Our team of scientists has experience in all areas of research including Life Science, Material Science, Chemical Synthesis, Chromatography, Analytical and many others.

Contact Technical Service