Skip to Content
Merck

AB9610

Anti-OLIG2 Antibody

CHEMICON®, rabbit polyclonal

Synonym(s):

Oligodendrocyte transcription factor 2, Oligo2, Class B basic helix-loop-helix protein 1, bHLHb1, Class E basic helix-loop-helix protein 19, bHLHe19, Protein kinase C-binding protein 2, Protein kinase C-binding protein RACK17

Sign In to View Organizational & Contract Pricing.

Select a Size


About This Item

UNSPSC Code:
12352203
eCl@ss:
32160702
NACRES:
NA.41
Clone:
polyclonal
Species reactivity:
mouse, human, rat
Application:
ICC, IHC (p), IP, WB
Citations:
584
Technical Service
Need help? Our team of experienced scientists is here for you.
Let Us Assist
Technical Service
Need help? Our team of experienced scientists is here for you.
Let Us Assist

Product Name

Anti-Olig-2 Antibody, Chemicon®, from rabbit

biological source

rabbit

antibody form

purified antibody

antibody product type

primary antibodies

clone

polyclonal

species reactivity

mouse, human, rat

manufacturer/tradename

Chemicon®

technique(s)

immunocytochemistry: suitable, immunohistochemistry (formalin-fixed, paraffin-embedded sections): suitable, immunoprecipitation (IP): suitable, western blot: suitable

NCBI accession no.

UniProt accession no.

shipped in

wet ice

target post-translational modification

unmodified

Quality Level

Gene Information

human ... OLIG2(10215)

Looking for similar products? Visit Product Comparison Guide

General description

Oligodendrocyte transcription factor 2 (UniProt: Q13516, also known as Oligo2, Class B basic helix-loop-helix protein 1, bHLHb1, Class E basic helix-loop-helix protein 19, bHLHe19, Protein kinase C-binding protein 2, Protein kinase C-binding protein RACK17) is encoded by the OLIG2 (also known as BHLHB1, BHLHE19, PRKCBP2, RACK17) gene (Gene ID: 10215) in human. Olig2 is expressed in the brain in oligodendrocytes. Its strong expression is also observed in oligodendrogliomas. Olig2 is required for oligodendrocyte and motor neuron specification in the spinal cord, as well as for the development of somatic motor neurons in the hindbrain. It functions together with ZNF488 to promote oligodendrocyte differentiation. Olig2 is observed in both nucleus and the cytoplasm. Its nuclear localization signal is contained in the bHLH domain (aa 108-162). It can be masked in the native form and translocation to the nucleus may be mediated by interaction either with class E bHLH partner protein or with NKX2-2. Olig2 cooperates with Olig1 to establish the motor neuron progenitor domain of the embryonic neural tube. Removal of Cdx transcription factors is shown to result in the continued induction of Olig2 and ectopic production of cranial motor neuron progenitors. A chromosomal aberration involving Olig2 is shown to cause a form of T-cell acute lymphoblastic leukemia (T-ALL). (Ref.: Metzis, V., et al. (2018). Cell 175(4); 1105-1118).
~32 kDa

Immunogen

Recombinant mouse Olig-2

Application

Anti-Olig-2 Antibody is an antibody against Oligodendrocyte transcription factor 2 for use in IC, IH, IH(P), IP and WB.
Research Category
Neuroscience
Research Sub Category
Neuronal & Glial Markers
Western Blot Analysis:
1:2,500-1:5,000 dilution of a previous lot was used in western blot on human, rat and mouse cell lines (human oligodendroglioma, rat primary neurepithelial, mouse transfected) and tissues (brain and spinal cord).

Immunoprecipitation:
1:500-1:1,000 with human oligodendroglioma and mouse transfected cell line.
Optimal working dilutions must be determined by the end user.

Immunocytochemistry:
1:500-1:1,000 dilution of a previous lot was used in immunocytochemistry on human, rat and mouse cell lines (human oligodendroglioma, rat primary neurepithelial, mouse transfected) and tissues (brain and spinal cord).

Optimal working dilutions must be determined by the end user

Biochem/physiol Actions

Other species have not been tested.
Recognizes the ~32 kDa Olig-2 protein by Western blot.

Physical form

Ammonium Sulfate Precipitation
Format: Purified
Purified rabbit polyclonal. Liquid in 100 mM Glycine, 200 mM Tris, pH 8.0.

Preparation Note

Stable for 6 months at 2-8ºC from date of receipt.

Analysis Note

Control
Mouse brain whole cell lysate, PC12 whole cell lysate, brain (rat) tissue lysate
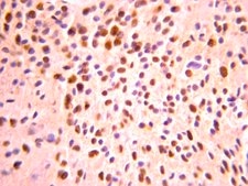
Evaluated by immunohistochemistry on glioblastoma

Immunohistochemistry (Paraffin):
Representative lot data.
Anti-Olig2 (AB9610) staining pattern morphology in glioblastoma. Tissue was pretreated with TE Buffer, pH 9.0. Polyclonal antibody was diluted to 1:500, using IHC-Select Detection with HRP-DAB.
Optimal Staining With TE Buffer Epitope Retrieval: Glioblastoma

Legal Information

CHEMICON is a registered trademark of Merck KGaA, Darmstadt, Germany

Disclaimer

Unless otherwise stated in our catalog or other company documentation accompanying the product(s), our products are intended for research use only and are not to be used for any other purpose, which includes but is not limited to, unauthorized commercial uses, in vitro diagnostic uses, ex vivo or in vivo therapeutic uses or any type of consumption or application to humans or animals.

Not finding the right product?  

Try our Product Selector Tool.

Storage Class

12 - Non Combustible Liquids

wgk

WGK 1

flash_point_f

Not applicable

flash_point_c

Not applicable


Certificates of Analysis (COA)

Search for Certificates of Analysis (COA) by entering the products Lot/Batch Number. Lot and Batch Numbers can be found on a product’s label following the words ‘Lot’ or ‘Batch’.

Already Own This Product?

Find documentation for the products that you have recently purchased in the Document Library.

Visit the Document Library

Inga Nazarenko et al.
PloS one, 6(4), e18303-e18303 (2011-04-15)
Deregulation of platelet-derived growth factor (PDGF) signaling is a hallmark of malignant glioma. Two alternatively spliced PDGF-A mRNAs have been described, corresponding to a long (L) and a short (S) isoform of PDGF-A. In contrast to PDGF-A(S), the PDGF-A(L) isoform
Dorsally and ventrally derived oligodendrocytes have similar electrical properties but myelinate preferred tracts.
Tripathi, Richa B, et al.
The Journal of Neuroscience, 31, 6809-6819 (2011)
A novel transient glutamatergic population migrating from the pallial-subpallial boundary contributes to neocortical development.
Teissier, A; Griveau, A; Vigier, L; Piolot, T; Borello, U; Pierani, A
The Journal of Neuroscience null
Human neural progenitors from different foetal forebrain regions remyelinate the adult mouse spinal cord.
Buchet, D; Garcia, C; Deboux, C; Nait-Oumesmar, B; Baron-Van Evercooren, A
Brain null
The probable cell of origin of NF1- and PDGF-driven glioblastomas.
Hambardzumyan, D; Cheng, YK; Haeno, H; Holland, EC; Michor, F
Testing null

Articles

Derivation and characterization of functional human neural stem cell derived oligodendrocyte progenitor cells (OPCs) that efficiently myelinate primary neurons in culture.

Antibodies combine with specific antigens to generate an exclusive antibody-antigen complex. Learn about the nature of this bond and its use as a molecular tag for research.

Learn differences in monoclonal vs polyclonal antibodies including how antibodies are generated, clone numbers, and antibody formats.

Immunofluorescence uses antibody-conjugated fluorescent molecules for protein localization, modification confirmation, and protein complex visualization.

See All

Protocols

Tips and troubleshooting for FFPE and frozen tissue immunohistochemistry (IHC) protocols using both brightfield analysis of chromogenic detection and fluorescent microscopy.

Related Content

Find protein research tools to prepare, isolate, and analyze proteins. Organized by how to extract, protect, purify, enrich, modify, and quantify proteins.

There’s so much room for experimental variability in traditional immunodetection workflows. For your peace of mind – and ours – we designed the SNAP i.d.® 2.0 system to streamline your Western blot and immunohistochemistry experiments. The concept is simple: a vacuum-driven flow of blocking, antibody, and washing solutions reduces slide and membrane handling. That means a lot less shaking, dipping, pouring and waiting. And now you can process multiple blots and slides in parallel, so it’s easy to apply consistent conditions across experiments.

Global Trade Item Number

SKUGTIN
AB961004053252366536

Our team of scientists has experience in all areas of research including Life Science, Material Science, Chemical Synthesis, Chromatography, Analytical and many others.

Contact Technical Service