Skip to Content
Merck

ABN91

Anti-NeuN Antibody

from chicken, purified by affinity chromatography

Synonym(s):

RNA binding protein fox-1 homolog 3, Fox-1 homolog C

Sign In to View Organizational & Contract Pricing.

Select a Size


About This Item

UNSPSC Code:
12352203
NACRES:
NA.41
eCl@ss:
32160702
Clone:
polyclonal
Species reactivity:
mouse, rat
Application:
ICC, IHC, WB
Citations:
48
Technical Service
Need help? Our team of experienced scientists is here for you.
Let Us Assist
Technical Service
Need help? Our team of experienced scientists is here for you.
Let Us Assist

biological source

chicken

antibody form

affinity isolated antibody

antibody product type

primary antibodies

clone

polyclonal

purified by

affinity chromatography

species reactivity

mouse, rat

technique(s)

immunocytochemistry: suitable, immunohistochemistry: suitable (paraffin), western blot: suitable

isotype

IgY

shipped in

wet ice

target post-translational modification

unmodified

Quality Level

Gene Information

mouse ... Rbfox3(52897)
rat ... Rbfox3(287847)

Looking for similar products? Visit Product Comparison Guide

General description

NeuN (RNA binding protein fox-1 homolog 3; Fox-1 homolog C) is a RNA-binding protein found exclusively in the nuclei of neuronal cells. It is a member of the evolutionarily conserved Fox-1 family and is mainly involved in splicing of RNA.
~45 kDa observed. Uncharacterized bands appear at ~40 and ~50 kDa in some lysates.

Immunogen

Epitope: N-terminus
GST-tagged recombinant protein corresponding to the N-terminus of mouse NeuN.

Application

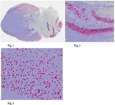
Immunocytochemistry Analysis: A 1:500 dilution from a representative lot detected NeuN in rat E18 cortex cells.

Immunohistochemistry Analysis: A 1:500 dilution from a representative lot detected NeuN in mouse brain, mouse hippocampus, and mouse frontal cortex tissues.
Research Category
Neuroscience
Research Sub Category
Developmental Neuroscience
This Anti-NeuN Antibody is validated for use in IHC(P), Western Blotting, ICC for the detection of NeuN.

Biochem/physiol Actions

Other homologies: Human (94% sequence homology).
This antibody recognizes the N-terminus of NeuN.

Physical form

Affinity purified
Purified chicken polyclonal in buffer containing 0.1 M Tris-Glycine (pH 7.4), 150 mM NaCl with 0.05% sodium azide.

Preparation Note

Stable for 1 year at 2-8°C from date of receipt.

Analysis Note

Control
Mouse brain E16 tissue lysate
Evaluated by Western Blot in mouse brain E16 tissue lysate.

Western Blot Analysis: 0.5 µg/mL of this antibody detected NeuN on 10 µg of mouse brain E16 tissue lysate.

Disclaimer

Unless otherwise stated in our catalog or other company documentation accompanying the product(s), our products are intended for research use only and are not to be used for any other purpose, which includes but is not limited to, unauthorized commercial uses, in vitro diagnostic uses, ex vivo or in vivo therapeutic uses or any type of consumption or application to humans or animals.

Not finding the right product?  

Try our Product Selector Tool.

Storage Class

12 - Non Combustible Liquids

flash_point_f

Not applicable

flash_point_c

Not applicable


Certificates of Analysis (COA)

Search for Certificates of Analysis (COA) by entering the products Lot/Batch Number. Lot and Batch Numbers can be found on a product’s label following the words ‘Lot’ or ‘Batch’.

Already Own This Product?

Find documentation for the products that you have recently purchased in the Document Library.

Visit the Document Library

Daniel Manrique-Castano et al.
Frontiers in cellular neuroscience, 13, 412-412 (2019-10-02)
ATP-binding cassette (ABC) transporters prevent the access of pharmacological compounds to the ischemic brain, thereby impeding the efficacy of stroke therapies. ABC transporters can be deactivated by selective inhibitors, which potently increase the brain accumulation of drugs. Concerns have been
Meijun Ye et al.
Scientific reports, 9(1), 15518-15518 (2019-10-31)
Exposure of the brain to high-intensity stress waves creates the potential for long-term functional deficits not related to thermal or cavitational damage. Possible sources of such exposure include overpressure from blast explosions or high-intensity focused ultrasound (HIFU). While current ultrasound
Luiz Alexandre Viana Magno et al.
Scientific reports, 10(1), 4566-4566 (2020-03-14)
Peripheral biomarker and post-mortem brains studies have shown alterations of neuronal calcium sensor 1 (Ncs-1) expression in people with bipolar disorder or schizophrenia. However, its engagement by psychiatric medications and potential contribution to behavioral regulation remains elusive. We investigated the
Masha Prager-Khoutorsky et al.
American journal of physiology. Regulatory, integrative and comparative physiology, 309(4), R324-R337 (2015-05-29)
The organum vasculosum of the laminae terminalis (OVLT) is a circumventricular organ located along the ventral part of the anterior wall of the third ventricle. Because it lacks a complete blood-brain barrier (BBB), blood-borne signals detected in the OVLT provide
Lauren Carr et al.
PloS one, 12(2), e0172736-e0172736 (2017-02-25)
The secreted glycoproteins, Slit1-3, are classic axon guidance molecules that act as repulsive cues through their well characterised receptors Robo1-2 to allow precise axon pathfinding and neuronal migration. The expression patterns of Slit1-3 and Robo1-2 have been most characterized in

Global Trade Item Number

SKUGTIN
ABN9104053252689765

Our team of scientists has experience in all areas of research including Life Science, Material Science, Chemical Synthesis, Chromatography, Analytical and many others.

Contact Technical Service