Skip to Content
Merck

04-855

Anti-GluR1 Antibody, clone C3T, rabbit monoclonal

culture supernatant, clone C3T, Upstate®

Synonym(s):

Anti-GluA1, Anti-GluR-1, Anti-GluR-A, Anti-GluR-K1, Anti-GluR1

Sign In to View Organizational & Contract Pricing.

Select a Size


About This Item

UNSPSC Code:
12352203
NACRES:
NA.41
eCl@ss:
32160702
Technical Service
Need help? Our team of experienced scientists is here for you.
Let Us Assist
Technical Service
Need help? Our team of experienced scientists is here for you.
Let Us Assist

Product Name

Anti-GluR1 Antibody, clone C3T, rabbit monoclonal, culture supernatant, clone C3T, Upstate®

biological source

rabbit

conjugate

unconjugated

antibody form

culture supernatant

antibody product type

primary antibodies

clone

C3T, monoclonal

species reactivity

human, chimpanzee, rat, mouse

manufacturer/tradename

Upstate®

technique(s)

immunohistochemistry: suitable
immunoprecipitation (IP): suitable
western blot: suitable

isotype

IgG

NCBI accession no.

UniProt accession no.

shipped in

dry ice

target post-translational modification

unmodified

Quality Level

Gene Information

human ... GRIA1(2890)

Analysis Note

Control
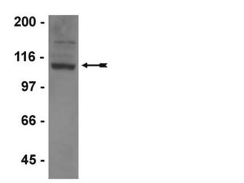
Routinely evaluated by immunoblot on rat brain microsomal preparation (12-144)
Routinely evaluated by Western blotting of rat brain microsomal preparation.

Western Blotting Analysis (WB): A 1:5,000-1:10,000 dilution of this lot detected GluR1 in rat brain microsomal preparation (Catalog # 12-144).

Application

Anti-GluR1 Antibody, clone C3T detects level of GluR1 & has been published & validated for use in IH, IP & WB.
Immunoprecipitation: 2 μL of a previous lot immunoprecipitated GluR1 from rat brain microsomal preparation.

Immunohistochemistry: A previous lot of this antibody has been shown to detect GluR1 in human, mouse and rat tissues.
Research Category
Neuroscience
Research Sub Category
Neurotransmitters & Receptors

Biochem/physiol Actions

Predicted to cross-react with Chimpanzee based pm 100% sequence homology.
Recognizes GluR1, Mr 106 kDa.

Disclaimer

Unless otherwise stated in our catalog or other company documentation accompanying the product(s), our products are intended for research use only and are not to be used for any other purpose, which includes but is not limited to, unauthorized commercial uses, in vitro diagnostic uses, ex vivo or in vivo therapeutic uses or any type of consumption or application to humans or animals.

General description

106 kDa
L glutamate is the major excitatory neurotransmitter in the central nervous system. Glutamatergic neurotransmission is involved in most aspects of normal brain function and can be perturbed in many neuropathologic conditions. The metabotropic glutamate receptors are a family of G protein coupled receptors that have been divided into 3 groups. Group I includes GRM1 and these receptors have been shown to activate phospholipase C. GRM1 expression has been reported in various regions of the brain and spinal cord. ESTs have been isolated from brain and eye libraries.

Immunogen

KLH-conjugated, synthetic peptide corresponding to amino acids 858-868 (..TLPRNSGAGAS..) of human GluR1 (amino acids 840-850 of mature human GluR1)

Other Notes

Replaces: 05-855

Physical form

Cultured supernantant in 0.05% sodium azide

Preparation Note

Maintain for 2 years at -20°C from date of shipment. Aliquot to avoid repeated freezing and thawing. For maximum recovery of product, centrifuge the original vial after thawing and prior to removing the cap.

Legal Information

UPSTATE is a registered trademark of Merck KGaA, Darmstadt, Germany

Not finding the right product?  

Try our Product Selector Tool.

Storage Class

10 - Combustible liquids

wgk

WGK 2


Certificates of Analysis (COA)

Search for Certificates of Analysis (COA) by entering the products Lot/Batch Number. Lot and Batch Numbers can be found on a product’s label following the words ‘Lot’ or ‘Batch’.

Already Own This Product?

Find documentation for the products that you have recently purchased in the Document Library.

Visit the Document Library

Gonadectomy differentially regulates steroid receptor coactivator-1 and synaptic proteins in the hippocampus of adult female and male C57BL/6 mice.
Chen Bian,Kongjiang Zhu,Li Yang,Sen Lin,Shurong Li,Bingyin Su,Jiqiang Zhang
Synapse null
Jacque P K Ip et al.
The Journal of neuroscience : the official journal of the Society for Neuroscience, 38(16), 3890-3900 (2018-03-16)
Microdeletion of a region in chromosome 16p11.2 increases susceptibility to autism. Although this region contains exons of 29 genes, disrupting only a small segment of the region, which spans five genes, is sufficient to cause autistic traits. One candidate gene
The striatal mosaic in primates: striosomes and matrix are differentially enriched in ionotropic glutamate receptor subunits.
Martin, L J, et al.
The Journal of Neuroscience, 13, 782-792 (1993)
Linli Qiu et al.
The Journal of steroid biochemistry and molecular biology, 156, 23-31 (2015-11-27)
Androgens have been proposed to play important roles in the regulation of hippocampus function either directly, through the androgen receptor (AR), or indirectly, through estrogen receptors (ERs), after aromatization into estradiol. Steroid receptor coactivator-1 (SRC-1) is present in the hippocampus
A L Mammen et al.
The Journal of biological chemistry, 272(51), 32528-32533 (1998-01-24)
Modulation of alpha-amino-3-hydroxy-5-methylisoxazole-4-propionic Acid (AMPA) receptors in the brain by protein phosphorylation may play a crucial role in the regulation of synaptic plasticity. Previous studies have demonstrated that calmodulin (CaM) kinase II can phosphorylate and modulate AMPA receptors. However, the

Global Trade Item Number

SKUGTIN
04-85504053252623066

Our team of scientists has experience in all areas of research including Life Science, Material Science, Chemical Synthesis, Chromatography, Analytical and many others.

Contact Technical Service