Skip to Content
Merck

05-443

Anti-VEGF Antibody, clone JH

clone JH, Upstate®, from mouse

Synonym(s):

Vascular permeability factor, vascular endothelial growth factor, vascular endothelial growth factor A, vascular endothelial growth factor isoform VEGF165

Sign In to View Organizational & Contract Pricing.

Select a Size


About This Item

UNSPSC Code:
12352203
NACRES:
NA.41
eCl@ss:
32160702
Technical Service
Need help? Our team of experienced scientists is here for you.
Let Us Assist
Technical Service
Need help? Our team of experienced scientists is here for you.
Let Us Assist

Product Name

Anti-VEGF Antibody, clone JH, clone JH, Upstate®, from mouse

biological source

mouse

antibody form

purified immunoglobulin

antibody product type

primary antibodies

clone

JH, monoclonal

species reactivity

rat, mouse, rabbit, human

manufacturer/tradename

Upstate®

technique(s)

immunohistochemistry: suitable (paraffin)

isotype

IgG1κ

suitability

not suitable for Western blot

NCBI accession no.

UniProt accession no.

shipped in

dry ice

target post-translational modification

unmodified

Quality Level

Gene Information

human ... VEGFA(7422)

Analysis Note

Biological Blockade: Incubation of HUVEC cells with 5 µg/mL of a previous lot and 5 ng/mL of VEGF (Catalog # 01-185) has shown growth inhibition of 20-70%.
Control
Expressed in most tissue, including Pancreas, Kidney, Adenocarcinoma.

Application

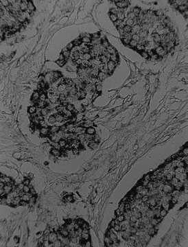
Immunohistochemistry: This lot of antibody detected VEGF in formalin fixed, paraffin embedded, human.tissues, using a 1:50 dilution incubated overnight at 4°C.

Immunoprecipitation: 2 µg of this antibody has been reported to immunoprecipitate VEGF from 1 mg of protein lysate.
Research Category
Signaling
Research Sub Category
Growth Factors & Receptors
This Anti-VEGF Antibody, clone JH is validated for use in IH(P) for the detection of VEGF.

Biochem/physiol Actions

Other species not tested.
Recognizes 34-54 kDa isoforms of Vascular Endothelial Growth Factor/Vascular Permeability Factor (VEGF/VPF).

Disclaimer

Unless otherwise stated in our catalog or other company documentation accompanying the product(s), our products are intended for research use only and are not to be used for any other purpose, which includes but is not limited to, unauthorized commercial uses, in vitro diagnostic uses, ex vivo or in vivo therapeutic uses or any type of consumption or application to humans or animals.

General description

34-54 kDa isoforms
The Flt gene family of receptor tyrosine kinases includes Flt-1, KDR/Flk-1, Flt-3, and Flt-4. They encode receptors for VEGF, characterized by seven Ig-loops within their extracellular domain and a split kinase domain within the cytoplasmic domain. VEGF is an important angiogenic factor of many solid tumors and is also involved in the differentiation of endothelial cells. Flt-1 (Fms-like tyrosine kinase, VEGF-R1) is expressed on endothelial cells and on the common precursors of endothelial and hematopoietic stem cells. KDR (Flk-1, VEGF-R2) is the principal receptor involved in VEGF signaling. KDR is expressed on endothelial cells and stimulates angiogenesis, but is also expressed on bone marrow cells, and is thought to play a role in driving the proliferation of most or all leukemic cells. Flt3 is a class III receptor tyrosine kinase that is closely related to c-Kit and c-Fms. It is expressed in primitive hematopoietic cells and its ligand exerts proliferative effects on these cells in co-operation with other cytokines. Flt3 is also expressed the placenta, testis, spleen, thymus, bone marrow, brain and in cerebellar Purkinje cells. The VEGF receptors stimulate the Ras-MAP kinase pathway, suggesting that it signals as a conventional receptor tyrosine kinase.

Immunogen

Recombinant human VEGF121. Clone JH121

Other Notes

Concentration: Please refer to the Certificate of Analysis for the lot-specific concentration.

Physical form

Format: Purified
Protein G Chromatography
Purified mouse monoclonal IgG1k in buffer containing 10 mM PBS, pH 7.4.

Preparation Note

Stable for 1 year at from date of receipt.

Legal Information

UPSTATE is a registered trademark of Merck KGaA, Darmstadt, Germany

Not finding the right product?  

Try our Product Selector Tool.

Storage Class

12 - Non Combustible Liquids

wgk

WGK 2

flash_point_f

Not applicable

flash_point_c

Not applicable


Certificates of Analysis (COA)

Search for Certificates of Analysis (COA) by entering the products Lot/Batch Number. Lot and Batch Numbers can be found on a product’s label following the words ‘Lot’ or ‘Batch’.

Already Own This Product?

Find documentation for the products that you have recently purchased in the Document Library.

Visit the Document Library

Irradiated cultured apoptotic peripheral blood mononuclear cells regenerate infarcted myocardium.
H J Ankersmit, K Hoetzenecker, W Dietl, A Soleiman, R Horvat, M Wolfsberger, C Gerner et al.
European Journal of Clinical Investigation null
Treatment-induced neoangiogenesis in cerebral arteriovenous malformations.
U Sure, N Butz, A M Siegel, H D Mennel, S Bien, H Bertalanffy
Clinical Neurology and Neurosurgery null
F Shalaby et al.
Nature, 376(6535), 62-66 (1995-07-06)
The receptor tyrosine kinase Flk-1 (ref. 1) is believed to play a pivotal role in endothelial development. Expression of the Flk-1 receptor is restricted to endothelial cells and their embryonic precursors, and is complementary to that of its ligand, vascular
Kira I Mosher et al.
Nature neuroscience, 15(11), 1485-1487 (2012-10-23)
We found mouse neural progenitor cells (NPCs) to have a secretory protein profile distinct from other brain cells and to modulate microglial activation, proliferation and phagocytosis. NPC-derived vascular endothelial growth factor was necessary and sufficient to exert at least some
C O Tibesku et al.
The open orthopaedics journal, 5, 177-180 (2011-06-03)
To evaluate the expression of VEGF by chondrocytes of hyaline cartilage during the course of osteoarthritis (OA). In 12 white New Zealand rabbits the anterior cruciate ligament (ACL) was resected to create an anterior instability of the knee. In 12

Our team of scientists has experience in all areas of research including Life Science, Material Science, Chemical Synthesis, Chromatography, Analytical and many others.

Contact Technical Service