Skip to Content
Merck

05-797R

Anti-phospho-Erk1/2 (Thr202/Tyr204, Thr185/Tyr187)Antibody, recombinant clone AW39R, rabbit monoclonal

clone AW39R, Upstate®, from rabbit

Synonym(s):

Erk1, Erk2, p44-MAPK, p42-MAPK, MAPK2, PRKM2, p41mapk, PRKM1, p44, ERK2, P42MAPK, ERK, p42, MAPK1, ERT1, ERT2, Mitogen-activated protein kinase, MAP Kinase 2, MAP Kianse 1, MAPK

Sign In to View Organizational & Contract Pricing.

Select a Size


About This Item

UNSPSC Code:
12352203
NACRES:
NA.41
eCl@ss:
32160702
Technical Service
Need help? Our team of experienced scientists is here for you.
Let Us Assist
Technical Service
Need help? Our team of experienced scientists is here for you.
Let Us Assist

Product Name

Anti-phospho-Erk1/2 (Thr202/Tyr204, Thr185/Tyr187)Antibody, recombinant clone AW39R, rabbit monoclonal, clone AW39R, Upstate®, from rabbit

biological source

rabbit

antibody form

purified immunoglobulin

antibody product type

primary antibodies

clone

AW39R, monoclonal

species reactivity

human, mouse, rat

manufacturer/tradename

Upstate®

technique(s)

multiplexing: suitable
western blot: suitable

isotype

IgG

NCBI accession no.

UniProt accession no.

shipped in

dry ice

target post-translational modification

phosphorylation ((pThr202/pTyr204), (pThr185/pTyr187))

Quality Level

Gene Information

human ... MAPK3(5595)
mouse ... Mapk3(26417)
rat ... Mapk3(50689)

Analysis Note

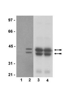
Control
PDGF-treated NIH/3T3 cell lysates
Routinely evaluated by immunoblot on lysate from PDGF-treated NIH/3T3 cells

Application

Anti-phospho-Erk1/2 (Thr202/Tyr204 Antibody, Thr185/Tyr187), recombinant clone AW39R detects level of phospho-Erk1/2 (Thr202/Tyr204 & has been published & validated for use in Mplex & WB.
Research Category
Signaling
Research Sub Category
MAP Kinases

Kinases & Phosphatases

Biochem/physiol Actions

Recognizes Erk 1 & 2 only when dually phosphorylated on its TxY activation motif.

Disclaimer

Unless otherwise stated in our catalog or other company documentation accompanying the product(s), our products are intended for research use only and are not to be used for any other purpose, which includes but is not limited to, unauthorized commercial uses, in vitro diagnostic uses, ex vivo or in vivo therapeutic uses or any type of consumption or application to humans or animals.

General description

Erk (Extracellular signal-Related Kinase) is a family of two, highly homologous proteins denoted as Erk1 (p44, MAPK3) and Erk2 (p42, MAPK1) that both function in the same pathway. The two proteins are often referred to collectively as Erk1/2 or p44/p42 MAP kinase. The Erk pathway is considered the classical, canonical MAPK (Mitogen-Activated Protein Kinase) signaling pathway. It is an evolutionarily conserved pathway that controls and is a critical regulator of the growth and survival through the promotion of cell proliferation and the prevention of apoptosis. Erk is involved in the control of many fundamental cellular processes including cell proliferation, survival, differentiation, apoptosis, motility and metabolism. Erk is activated by growth factor stimulation of receptor tyrosine kinases (RTKs), GPCR, and/or integrin stimulation. This activates the Ras-Raf-MEK-Erk pathway that results in the phosphorylation/activation of Erk1/2 (p44/p42) on the TxY motif (Thr202/Tyr204 and Thr185/Tyr187 for Erk1 & Erk2, respectively).
Erk1 (p44) (~44 kDa) and Erk2 (p42) (~42 kDa).

Immunogen

Epitope: pTEpY in the activation loop
Phosphorylated peptide corresponding to amino acids surrounding the pTEpY motif in the activation loop of human phospho-Erk1/2, in which the Thr and Tyr residues are phosphorylated

Other Notes

Replaces: 05-797

Physical form

Format: Purified
Protein A Purified immunoglobulin in 30% glycerol, 0.07M Tris-glycine, pH 7.4, 0.105 M NaCl, 0.035% sodium azide as a preservative.
Protein A purified

Preparation Note

Stable for 1 year at -20°C from date of receipt. Handling Recommendations: Upon receipt, and prior to removing the cap, centrifuge the vial and gently mix the solution. Aliquot into microcentrifuge tubes and store at -20°C. Avoid repeated freeze/thaw cycles, which may damage IgG and affect product performance.

Legal Information

UPSTATE is a registered trademark of Merck KGaA, Darmstadt, Germany

Not finding the right product?  

Try our Product Selector Tool.

Storage Class

12 - Non Combustible Liquids

wgk

WGK 1

flash_point_f

Not applicable

flash_point_c

Not applicable


Certificates of Analysis (COA)

Search for Certificates of Analysis (COA) by entering the products Lot/Batch Number. Lot and Batch Numbers can be found on a product’s label following the words ‘Lot’ or ‘Batch’.

Already Own This Product?

Find documentation for the products that you have recently purchased in the Document Library.

Visit the Document Library

Wen-Tsan Chang et al.
Molecules (Basel, Switzerland), 22(5) (2017-05-23)
Hepatocellular carcinoma (HCC) is a leading cancer worldwide. Advanced HCCs are usually resistant to anticancer drugs, causing unsatisfactory chemotherapy outcomes. In this study, we showed that a 4-phenoxyphenol derivative, 4-[4-(4-hydroxyphenoxy)phenoxy]phenol (4-HPPP), exerts an inhibitory activity against two HCC cell lines
Wei-Lin Teng et al.
Antioxidants (Basel, Switzerland), 10(10) (2021-10-24)
Particulate matter (PM) is the main indicator of air pollutants, and it may increase the level of reactive oxygen species (ROS) in keratinocytes, leading to skin inflammation, aging, and decreased moisturizing ability. Pterostilbene (PTS) is a dimethylated analog of resveratrol
Kuo-Chuan Hung et al.
Molecular medicine reports, 24(5) (2021-09-04)
A unique region of human parvovirus B19 virus‑VP1 (B19V‑VP1u) has been linked to a variety of cardiac disorders. However, the precise role of B19V‑VP1u in inducing cardiac injury remains unknown. The present study investigated the effects of B19V‑VP1u and different
Pao Hsien Huang et al.
Pharmaceutics, 11(8) (2019-08-11)
As is known, many antioxidants from plant extracts have been used as additives in skincare products to prevent skin damage following overexposure to environmental pollutants. 7,3',4'-trihydroxyisoflavone (734THIF), an isoflavone compound, possesses various biological activities, including antioxidant, antityrosinase, photodamage protection, and
Ji-Eun Kim et al.
Cells, 9(7) (2020-07-16)
Recently, we have reported that dysfunctions of 67-kDa laminin receptor (67LR) induced by status epilepticus (SE, a prolonged seizure activity) and 67LR neutralization are involved in vasogenic edema formation, accompanied by the reduced aquaporin 4 (AQP4, an astroglial specific water

Global Trade Item Number

SKUGTIN
05-797R04053252512162

Our team of scientists has experience in all areas of research including Life Science, Material Science, Chemical Synthesis, Chromatography, Analytical and many others.

Contact Technical Service