Skip to Content
Merck

05-944

Anti-Ubiquitin Antibody, clone P4D1-A11

clone P4D1-A11, Upstate®, from mouse

Synonym(s):

Anti-Ubiquitin, Clone P4D1-A11 Anti-Ubiquitin, Ubiquitin Detection Antibody

Sign In to View Organizational & Contract Pricing.

Select a Size


About This Item

UNSPSC Code:
12352203
NACRES:
NA.41
eCl@ss:
32160702
Technical Service
Need help? Our team of experienced scientists is here for you.
Let Us Assist
Technical Service
Need help? Our team of experienced scientists is here for you.
Let Us Assist

Product Name

Anti-Ubiquitin Antibody, clone P4D1-A11, clone P4D1-A11, Upstate®, from mouse

biological source

mouse

conjugate

unconjugated

antibody form

purified immunoglobulin

antibody product type

primary antibodies

clone

P4D1-A11, monoclonal

species reactivity

Saccharomyces cerevisiae, human, vertebrates

manufacturer/tradename

Upstate®

technique(s)

western blot: suitable

isotype

IgG

NCBI accession no.

UniProt accession no.

shipped in

dry ice

target post-translational modification

unmodified

Quality Level

Gene Information

human ... UBAP2(55833)

Analysis Note

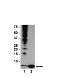
Routinely evaluated by immunoblot of human recombinant ubiquitin (Catalog # 12-558), and ubiquitinated proteins in acid extracts from HeLa cells

Application

Anti-Ubiquitin Antibody, clone P4D1-A11 is an antibody against Ubiquitin for use in WB.
Research Category
Protein Trafficking
Research Sub Category
Ubiquitin & Ubiquitin Metabolism

Biochem/physiol Actions

Ubiquitin, Mr = 8 kDa, and several ubiquitinated proteins

Disclaimer

Unless otherwise stated in our catalog or other company documentation accompanying the product(s), our products are intended for research use only and are not to be used for any other purpose, which includes but is not limited to, unauthorized commercial uses, in vitro diagnostic uses, ex vivo or in vivo therapeutic uses or any type of consumption or application to humans or animals.

General description

8 kDa and higher

Immunogen

total bovine ubiquitin

Other Notes

Replaces: 04-454

Physical form

100 μg of protein G purified mouse IgG in 100 μL of 70% storage buffer (0.014M phosphate buffer, pH 7.6, 0.175M NaCl, 0.07% sodium azide) and 30% glycerol.
Format: Purified
Protein G Purified

Preparation Note

2 years at -20°C from date of shipment

Legal Information

UPSTATE is a registered trademark of Merck KGaA, Darmstadt, Germany

Not finding the right product?  

Try our Product Selector Tool.

Storage Class

10 - Combustible liquids

wgk

WGK 1


Certificates of Analysis (COA)

Search for Certificates of Analysis (COA) by entering the products Lot/Batch Number. Lot and Batch Numbers can be found on a product’s label following the words ‘Lot’ or ‘Batch’.

Already Own This Product?

Find documentation for the products that you have recently purchased in the Document Library.

Visit the Document Library

Regulating the regulators: control of protein ubiquitination and ubiquitin-like modifications by extracellular stimuli.
Gao, Min and Karin, Michael
Molecular Cell, 19, 581-593 (2005)
M Hochstrasser
Annual review of genetics, 30, 405-439 (1996-01-01)
A growing number of cellular regulatory mechanisms are being linked to protein modification by the polypeptide ubiquitin. These include key transitions in the cell cycle, class I antigen processing, signal transduction pathways, and receptor-mediated endocytosis. In most, but not all
The ubiquitin system for protein degradation and some of its roles in the control of the cell division cycle.
Hershko, A
Cell Death and Differentiation, 12, 1191-1197 (2005)
Regulatory monoubiquitination of phosphoenolpyruvate carboxylase in germinating castor oil seeds.
Uhrig, RG; She, YM; Leach, CA; Plaxton, WC
The Journal of Biological Chemistry null
Osmotic stress changes the expression and subcellular localization of the Batten disease protein CLN3.
Getty, A; Kovacs, AD; Lengyel-Nelson, T; Cardillo, A; Hof, C; Chan, CH; Pearce, DA
Testing null

Global Trade Item Number

SKUGTIN
05-94404053252275715

Our team of scientists has experience in all areas of research including Life Science, Material Science, Chemical Synthesis, Chromatography, Analytical and many others.

Contact Technical Service