Skip to Content
Merck

AB2233

Anti-Galanin Antibody

serum, from rabbit

Synonym(s):

galanin prepropeptide, galanin-message-associated peptide, galanin-related peptide

Sign In to View Organizational & Contract Pricing.

Select a Size


About This Item

UNSPSC Code:
12352203
NACRES:
NA.41
eCl@ss:
32160702
Conjugate:
unconjugated
Clone:
polyclonal
Application:
IHC
Citations:
6
Technical Service
Need help? Our team of experienced scientists is here for you.
Let Us Assist
Technical Service
Need help? Our team of experienced scientists is here for you.
Let Us Assist

biological source

rabbit

conjugate

unconjugated

antibody form

serum

antibody product type

primary antibodies

clone

polyclonal

species reactivity

rat

species reactivity (predicted by homology)

mouse, boar, human

technique(s)

immunohistochemistry: suitable (paraffin)

NCBI accession no.

UniProt accession no.

shipped in

wet ice

target post-translational modification

unmodified

Quality Level

Gene Information

human ... GAL(51083)

Looking for similar products? Visit Product Comparison Guide

General description

13.3 kDa
Galanin is a neuropeptide which is not a member of any known family of neuropeptides, despite repeated efforts to discover related peptides. Its actions are mediated via Gi-protein-coupled receptors (GPCR’s) and ion channels, usually producing inhibition of secretion of a transmitter or hormone in the nervous and endocrine system. In many respects, these inhibitory actions of galanin remind us of those of gamma-aminobutyric acid (GABA) and of neuropeptide Y (NPY). Galanin coexists with GABA, noradrenaline, 5-hydroxytryptamine (5-HT), and NPY in several regions of the brain. Galanin and it’s receptor are over expressed in limbic region of the brain in patients suffering from Alzheimer′s disease. However it is not clear whether galanin exacerbates or is a protective response to the disease.

Immunogen

Synthetic Linear Peptide

Application

Detect Galanin using this Anti-Galanin Antibody validated for use in IH(P).
Research Category
Neuroscience
Research Sub Category
Neurochemistry & Neurotrophins

Biochem/physiol Actions

Cat. # AB2233 recognizes Galanin
Reactivity with other species has not been determined.

Physical form

Serum with 0.05% NaN3

Preparation Note

Maintain at -20°C for up to 1 year from date of receipt.

Analysis Note

Control
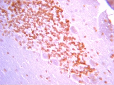
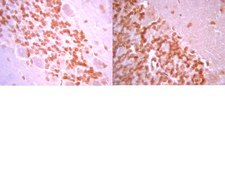
Rat Cerebellum Tissue
Routinely evaluated by Immunhistochemistry on rat cerebellum tissue.

Disclaimer

Unless otherwise stated in our catalog or other company documentation accompanying the product(s), our products are intended for research use only and are not to be used for any other purpose, which includes but is not limited to, unauthorized commercial uses, in vitro diagnostic uses, ex vivo or in vivo therapeutic uses or any type of consumption or application to humans or animals.

Not finding the right product?  

Try our Product Selector Tool.

Storage Class

10 - Combustible liquids

wgk

WGK 1


Certificates of Analysis (COA)

Search for Certificates of Analysis (COA) by entering the products Lot/Batch Number. Lot and Batch Numbers can be found on a product’s label following the words ‘Lot’ or ‘Batch’.

Already Own This Product?

Find documentation for the products that you have recently purchased in the Document Library.

Visit the Document Library

Yutaro Komuro et al.
The Journal of neuroscience : the official journal of the Society for Neuroscience, 41(42), 8725-8741 (2021-09-01)
Galanin, one of the most inducible neuropeptides, is widely present in developing brains, and its expression is altered by pathologic events (e.g., epilepsy, ischemia, and axotomy). The roles of galanin in brain development under both normal and pathologic conditions have
Katarzyna Palus et al.
Journal of chemical neuroanatomy, 72, 25-33 (2016-01-06)
The purpose of the present study was to determine the response of the porcine coeliac-superior mesenteric ganglion complex (CSMG) neurons projecting to the prepyloric area of the porcine stomach to peripheral neuronal damage following partial stomach resection. To identify the
Joanna L Elson et al.
Neurotoxicity research, 34(1), 16-31 (2017-12-09)
Parkinson's disease (PD) is conventionally seen as resulting from single-system neurodegeneration affecting nigrostriatal dopaminergic neurons. However, accumulating evidence indicates multi-system degeneration and neurotransmitter deficiencies, including cholinergic neurons which degenerate in a brainstem nucleus, the pedunculopontine nucleus (PPN), resulting in motor
Katarzyna Palus et al.
PloS one, 10(11), e0143661-e0143661 (2015-11-26)
This experiment was designed to establish the localization and neurochemical phenotyping of sympathetic neurons supplying prepyloric area of the porcine stomach in a physiological state and during acetylsalicylic acid (ASA) induced gastritis. In order to localize the sympathetic perikarya the
Marta Gańko et al.
Journal of molecular neuroscience : MN, 54(2), 188-198 (2014-03-20)
The main goal of our research was to study the possible alterations of the chemical coding of the dorsal motor vagal nucleus (DMX) neurons projecting to the porcine stomach prepyloric region following prolonged acetylsalicylic acid supplementation. Fast Blue (FB) was

Global Trade Item Number

SKUGTIN
AB223304053252321740

Our team of scientists has experience in all areas of research including Life Science, Material Science, Chemical Synthesis, Chromatography, Analytical and many others.

Contact Technical Service