Skip to Content
Merck

MAB1948P

Anti-Heparan Sulfate Proteoglycan (Perlecan) Antibody, clone A7L6

clone A7L6, from rat

Synonym(s):

heparan sulfate proteoglycan 2, Schwartz-Jampel syndrome 1 (chondrodystrophic myotonia), endorepellin (domain V region), perlecan proteoglycan, heparan sulfate proteoglycan of basement membrane

Sign In to View Organizational & Contract Pricing.

Select a Size


About This Item

UNSPSC Code:
12352203
NACRES:
NA.41
eCl@ss:
32160702
Technical Service
Need help? Our team of experienced scientists is here for you.
Let Us Assist
Technical Service
Need help? Our team of experienced scientists is here for you.
Let Us Assist

Product Name

Anti-Heparan Sulfate Proteoglycan (Perlecan) Antibody, clone A7L6, clone A7L6, from rat

biological source

rat

conjugate

unconjugated

antibody form

purified antibody

antibody product type

primary antibodies

clone

A7L6, monoclonal

species reactivity

human

technique(s)

immunocytochemistry: suitable
immunohistochemistry: suitable
immunoprecipitation (IP): suitable
western blot: suitable

isotype

IgG2aκ

NCBI accession no.

UniProt accession no.

shipped in

wet ice

target post-translational modification

unmodified

Quality Level

Gene Information

human ... HSPG2(3339)

Analysis Note

Control
HeLa and A431 cells
Evaluated by Immunocytochemistry in HeLa and A431 cells.

Immunocytochemistry Analysis: 1:500 dilution of this antibody detected Heparan Sulfate Proteoglycan in HeLa and A431 cells.

Application

Detect Heparan Sulfate Proteoglycan (Perlecan) using this Anti-Heparan Sulfate Proteoglycan (Perlecan) Antibody, clone A7L6 validated for use in IH, IC, WB & IP.
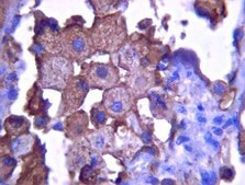
Immunohistochemistry Analysis: 1:100 dilution from a previous lot detected Heparan Sulfate Proteoglycan in large cell carcinoma tissue.

Western Blot Analysis: A previous lot was used in independent laboratories in WB. (Hagen, 1993; Brown, 1999).

Immunoprecipitation Analysis: A previous lot was used by an independent laboratory in IP. (Couchman, 1989).
Research Category
Cell Structure
Research Sub Category
ECM Proteins

Biochem/physiol Actions

The antibody recognizes a high molecular weight core protein of Heparan Sulfate Proteoglycan (Perlecan). No cross reactivity to laminin, collagen IV, entactin/nidogen, or fibronectin (Horiguchi, 1989).

Disclaimer

Unless otherwise stated in our catalog or other company documentation accompanying the product(s), our products are intended for research use only and are not to be used for any other purpose, which includes but is not limited to, unauthorized commercial uses, in vitro diagnostic uses, ex vivo or in vivo therapeutic uses or any type of consumption or application to humans or animals.

General description

Heparan sulfate proteoglycans (HSPGs) are found on cell surfaces and in the extracelluar matrix of all mammalian tissues, particularly in the core of the basement membrane. HSPGs found in the brain are dystroglycan, N-syndecan, glypican, and perlecan. The composition of HSPGs differs in the protein core, and is thought to determine the location of HSPG in the cell membrane (syndecan and glypican) and extracellular matrix (perlecan and dystroglycan). The postulated functions of HSPG include cell proliferation, differentiation, adhesion, migration, and morphogenesis.
Heparan Sulfate Proteoglycan antibodies, in tissues, react strongly and uniformly with basement membranes. Clone A7L6 recognizes domain IV of the core protein of the large heparan sulphate proteoglycan or perlecan. The reactivity is independent of the galactosaminoglycan moieties; therefore, the epitope is not sensitive to heparinase treatment.

Immunogen

Epitope: HSPG core protein
Heparan Sulfate Proteoglycan from EHS mouse tumor

Other Notes

Concentration: Please refer to the Certificate of Analysis for the lot-specific concentration.
Replaces: MAB1948

Physical form

Format: Purified
Protein G Purified
Purified rat monoclonal IgG2aκ in buffer containing 0.1 M Tris-Glycine (pH 7.4), 150 mM NaCl with 0.05% sodium azide.

Preparation Note

Stable for 1 year at 2-8°C from date of receipt.

Not finding the right product?  

Try our Product Selector Tool.

Storage Class

12 - Non Combustible Liquids

wgk

WGK 1

flash_point_f

Not applicable

flash_point_c

Not applicable


Certificates of Analysis (COA)

Search for Certificates of Analysis (COA) by entering the products Lot/Batch Number. Lot and Batch Numbers can be found on a product’s label following the words ‘Lot’ or ‘Batch’.

Already Own This Product?

Find documentation for the products that you have recently purchased in the Document Library.

Visit the Document Library

Shu-Chun Chang et al.
Evidence-based complementary and alternative medicine : eCAM, 2013, 457971-457971 (2013-08-29)
We previously reported that the increased level of perlecan with altered glycosaminoglycan (GAG) substitution was present in the placenta with gestational diabetes mellitus (GDM) and in the trophoblasts cultured under hyperglycemic condition. Trophoblast is the first cell lineage to differentiate
Takahiro Maeba et al.
Acta medica Okayama, 73(2), 135-146 (2019-04-25)
The basement membrane (BM) is composed of various extracellular molecules and regulates tissue regeneration and maintenance. Here, we demonstrate that collagen XVIII was spatiotemporally expressed in the BM during skin wound healing in a mouse excisional wound-splinting model. Re-epithelialization was
C A Miqueloto et al.
Journal of anatomy, 211(1), 16-25 (2007-06-05)
The morphogenesis of tissues and organs requires dynamic changes in cells and in extracellular matrix components. It is known that various extracellular matrix molecules are of fundamental importance for gonad differentiation and growth. In the adult testis, the extracellular matrix
Janice L Walker et al.
Developmental dynamics : an official publication of the American Association of Anatomists, 237(11), 3128-3141 (2008-09-26)
The formation of acinar and ductal structures during epithelial tissue branching morphogenesis is not well understood. We report that in the mouse submandibular gland (SMG), acinar and ductal cell fates are determined early in embryonic morphogenesis with E-cadherin playing pivotal
H F Irving-Rodgers et al.
Reproduction (Cambridge, England), 137(5), 825-834 (2009-03-06)
During growth of antral ovarian follicles granulosa cells first become associated with a novel type of extracellular matrix, focimatrix, and at larger sizes follicles become either subordinate or dominant. To examine this, bovine subordinate (9.0+/-S.E.M. 0.4 mm; n=16), partially dominant

Global Trade Item Number

SKUGTIN
MAB1948P04053252628580

Our team of scientists has experience in all areas of research including Life Science, Material Science, Chemical Synthesis, Chromatography, Analytical and many others.

Contact Technical Service