Skip to Content
Merck

MABE1016

Anti-pan-ADP-ribose binding reagent

from Escherichia coli

Synonym(s):

pan-ADP-ribose binding reagent

Sign In to View Organizational & Contract Pricing.

Select a Size


About This Item

UNSPSC Code:
12352203
NACRES:
NA.41
eCl@ss:
32160405
Species reactivity:
human, mouse
Technique(s):
dot blot: suitable, immunoprecipitation (IP): suitable, western blot: suitable
Application:
DB, IP, WB
Citations:
40
Technical Service
Need help? Our team of experienced scientists is here for you.
Let Us Assist
Technical Service
Need help? Our team of experienced scientists is here for you.
Let Us Assist

biological source

Escherichia coli

antibody form

purified antibody

antibody product type

primary antibodies

species reactivity

human, mouse

species reactivity (predicted by homology)

all

technique(s)

dot blot: suitable, immunoprecipitation (IP): suitable, western blot: suitable

shipped in

dry ice

target post-translational modification

unmodified

Quality Level

General description

Cat. No.MABE1016, Anti-pan-ADP-ribose binding reagent, is a His-tagged recombinant protein fused to rabbit Fc tag, expressed in and purified from Rosetta(DE3)pLysS strain of E. coli (Cat. No. 70956). Anti-pan-ADP-ribose binding reagent is useful for the affinity detection of both mono- and poly-ADP-ribosylated proteins on membranes in a manner similar to antibody-based Western and dot blot analysis, The rabbit Fc tag allows visualization of the binding with conjugated anti-rabbit secondary antibodies. The Fc tag also allows Anti-pan-ADP-ribose binding reagent to be captured on Protein A resins for affinity pull-down applications.
Variable depending on the target proteins and the extend of ADP-ribosylation.

Application

Anti-poly-ADP-ribose binding reagent is a reagent that selectively binds to both mono- and poly- ADP ribose for use in Western Blotting, Immunocytochemistry and Dot Blot.
Dot Blot Specificity Analysis: This reagent detected mono(ADPR) on recombinant PARP3 protein, as well as mono(ADPR) and poly(ADPR) on recombinant PARP1 recombinant protein (Lee Kraus, University of Texas Southwestern Medical Center).

Immunoprecipitation Analysis: A representative lot of Anti-pan-ADP-ribose binding reagent immunoprecipitated ADP-ribosylated proteins from nuclear extract (Lee Kraus, University of Texas Southwestern).

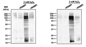
Western Blotting Analysis: A representative lot detected auto-ADP-ribosylation activity of PARP1/2/3 and mutants in the presence of NAD+ or various NAD+ analogs (Gibson, B.A., et al. (2016). Science. 353(6294):45-50).

Western Blotting Analysis: A representative lot detected PARP1-catalyzed NELF-E ADP-ribosylation in cell-free enzymatic reactions as well as ADP-ribosylation of exogenously expressed FLAG-tagged NELF-E in HEK293T cells. PARP inhibitor PJ34 or P-TEFb/CDK9 inhibitor flavopiridol treatment decreased cellular NELF-E ADP-ribosylation level (Gibson, B.A., et al. (2016). Science. 353(6294):45-50).
Research Category
Epigenetics & Nuclear Function
Research Sub Category
General Post-translation Modification

Biochem/physiol Actions

poly(ADP-ribose) and mono(ADP-ribose)

Physical form

Format: Purified
Ni-NTA agarose
Purified from E. coli by Ni-NTA agarose. Supplied in buffer containing 10 mM Tris pH 7.5, 0.2 M NaCl, 10% Glycerol, 10 mM Imidazole, 1 mM PMSF, 1 mM β-Mercaptoethanol, 10% glycerol without preservatives.

Preparation Note

Stable for 1 year at -80°C from date of receipt.
Handling Recommendations: Upon receipt and prior to removing the cap, centrifuge the vial and gently mix the solution. Aliquot into microcentrifuge tubes and store at -80°C. Avoid repeated freeze/thaw cycles, which may damage IgG and affect product performance.

Analysis Note

Evaluated by Western Blotting on ADP-ribosylated PARP1 and PARP3 recombinant proteins.

Western Blotting Analysis: This reagent detected mono(ADPR) on recombinant PARP3 protein, as well as mono(ADPR) and poly(ADPR) on recombinant PARP1 protein (Lee Kraus, University of Texas Southwestern Medical Center).

Other Notes

Concentration: Please refer to lot specific datasheet.

Disclaimer

Unless otherwise stated in our catalog or other company documentation accompanying the product(s), our products are intended for research use only and are not to be used for any other purpose, which includes but is not limited to, unauthorized commercial uses, in vitro diagnostic uses, ex vivo or in vivo therapeutic uses or any type of consumption or application to humans or animals.

Not finding the right product?  

Try our Product Selector Tool.

Storage Class

12 - Non Combustible Liquids

wgk

WGK 2

flash_point_f

Not applicable

flash_point_c

Not applicable


Certificates of Analysis (COA)

Search for Certificates of Analysis (COA) by entering the products Lot/Batch Number. Lot and Batch Numbers can be found on a product’s label following the words ‘Lot’ or ‘Batch’.

Already Own This Product?

Find documentation for the products that you have recently purchased in the Document Library.

Visit the Document Library

Tao Qin et al.
Molecular plant, 12(9), 1243-1258 (2019-05-19)
Plasma membrane-associated abscisic acid (ABA) signal transduction is an integral part of ABA signaling. The C2-domain ABA-related (CAR) proteins play important roles in the recruitment of ABA receptors to the plasma membrane to facilitate ABA signaling. However, how CAR proteins
Karunakaran Kalesh et al.
Scientific reports, 9(1), 6655-6655 (2019-05-02)
ADP-ribosylation is integral to a diverse range of cellular processes such as DNA repair, chromatin regulation and RNA processing. However, proteome-wide investigation of its cellular functions has been limited due to numerous technical challenges including the complexity of the poly(ADP-ribose)
Daniel Roderer et al.
Nature communications, 10(1), 5263-5263 (2019-11-22)
Tc toxins are bacterial protein complexes that inject cytotoxic enzymes into target cells using a syringe-like mechanism. Tc toxins are composed of a membrane translocator and a cocoon that encapsulates a toxic enzyme. The toxic enzyme varies between Tc toxins
Katie Pollock et al.
Methods in molecular biology (Clifton, N.J.), 1608, 445-473 (2017-07-12)
The poly(ADP-ribose)polymerase (PARP) enzyme tankyrase (TNKS/ARTD5, TNKS2/ARTD6) uses its ankyrin repeat clusters (ARCs) to recognize degenerate peptide motifs in a wide range of proteins, thereby recruiting such proteins and their complexes for scaffolding and/or poly(ADP-ribosyl)ation. Here, we provide guidance for
Chao-Cheng Cho et al.
Nature communications, 10(1), 1491-1491 (2019-04-04)
Poly-ADP-ribosylation, a post-translational modification involved in various cellular processes, is well characterized in eukaryotes but thought to be devoid in bacteria. Here, we solve crystal structures of ADP-ribose-bound poly(ADP-ribose)glycohydrolase from the radioresistant bacterium Deinococcus radiodurans (DrPARG), revealing a solvent-accessible 2'-hydroxy

Related Content

A major focus of breast cancer research is to understand the mechanisms responsible for disease progression and drug resistance. Toward that end, it has been found that approximately two thirds of all human breast carcinomas overexpress the Estrogen Receptor α (ERα) protein and it remains the primary pharmacological target for endocrine therapy1,2. The normal cellular function of ERα is as a transcription factor that mediates a wide variety of physiological processes, many of which are dependent upon phosphorylation of the receptor at specific amino acid residues3,4. Indeed, ERα is known to be phosphorylated at a multitude of different sites, yet how these all correlate to disease remains unclear5. Here, we interrogated multiple sites of ERα for phosphorylation status by screening an extensive panel of different breast cancer patient samples and other non-breast cancer tissue microarray (TMA) slide samples to determine their relevance to disease.

Global Trade Item Number

SKUGTIN
MABE101604055977168266

Our team of scientists has experience in all areas of research including Life Science, Material Science, Chemical Synthesis, Chromatography, Analytical and many others.

Contact Technical Service