Skip to Content
Merck

MABT400

Anti-Lubricin/Proteoglycan 4, clone 5C11 Antibody

clone 5C11, from mouse

Synonym(s):

Proteoglycan 4, Lubricin, Megakaryocyte-stimulating factor, Superficial zone proteoglycan, Proteoglycan 4 C-terminal part

Sign In to View Organizational & Contract Pricing.

Select a Size


About This Item

UNSPSC Code:
12352203
NACRES:
NA.41
eCl@ss:
32160702
Technical Service
Need help? Our team of experienced scientists is here for you.
Let Us Assist
Technical Service
Need help? Our team of experienced scientists is here for you.
Let Us Assist

Product Name

Anti-Lubricin/Proteoglycan 4, clone 5C11 Antibody, clone 5C11, from mouse

biological source

mouse

conjugate

unconjugated

antibody form

purified antibody

antibody product type

primary antibodies

clone

5C11, monoclonal

species reactivity

canine, bovine, goat, rat, porcine, human, guinea pig

technique(s)

immunohistochemistry: suitable (paraffin)
western blot: suitable

isotype

IgG1κ

NCBI accession no.

UniProt accession no.

shipped in

wet ice

target post-translational modification

unmodified

Quality Level

Gene Information

human ... PRG4(10216)

Analysis Note

Evaluated by Western Blotting in Lubercin purified protein.

Western Blotting Analysis: 1.0 µg/mL of this antibody detected 10 µg of purified Lubricin/Proteoglycan 4 protein.

Application

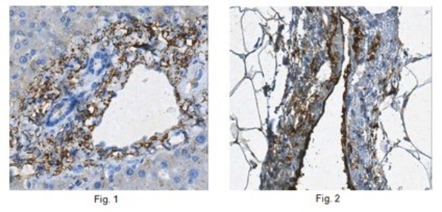
Immunohistochemistry Analysis: A 1:1,000 dilution from a representative lot detected Lubricin/Proteoglycan 4 in human liver and human heart tissue.
Western Blotting Analysis: A representative lot detected purified human synovial lubricin, as well as lubricin in synovial fluid recovered from patients with osteoarthritis (OA), camptodactyly-arthropathy-coxa vara-pericarditis syndrome (CACP), or from bovine, porcine, goat, dog, rat, and guinea pig (Ai, M., et al. (2015). PLoS One. 10(2):e0116237).
Western Blotting Analysis: A representative lot detected purified bovine synovial lubricin from calf and steer under both reduced and non-reduced conditions (Schmidt, T.A., et al. (2009). Biochim Biophys Acta. 1790(5):375-384).
This Anti-Lubricin/Proteoglycan 4, clone 5C11 Antibody is validated for use in Western Blotting and Immunohistochemistry (Paraffin) for the detection of Lubricin/Proteoglycan 4.

General description

The protein called Lubricin/Proteoglycan 4 is an important secreted protein in the joint critical for joint function and thus is also a focus of research in joint diseases as well. Lubricin/Proteoglycan 4 plays a role in boundary lubrication and prevents the deposition of cartilage from the synovial fluid by controlling the synovial growth of the synovial cells and inhibiting the adhesion of the cells to the cartilage surface. During development, Lubricin/Proteoglycan 4 also acts as a growth factor for hematopoietic and endothelial cell lineages, and Lubricin/Proteoglycan 4 appears important for proper barrier and lubrication development in tissues like the eye. Lubricin/Proteoglycan 4 is highly expressed in joints and near joint boundaries but can also be found in the brain, heart, lung, kidney and other tissues. Lubricin/Proteoglycan 4 has several isoforms that differ in their cell and tissue expression. Isoform C and D are the most widely expressed forms. Finally because of its effects on surfaces, Lubricin/Proteoglycan 4 is being examined in tissue engineering and artificial cartilage development as a treatment for joint diseases.
~220 kDa observed. The calculated molecular weight of this protein is 151 kDa with many isoforms observed around 145 kDa and it can run higher due to glycosylation.

Immunogen

Recombinant protein corresponding to human Lubricin/Proteoglycan 4.

Other Notes

Concentration: Please refer to lot specific datasheet.

Physical form

Format: Purified

Not finding the right product?  

Try our Product Selector Tool.

Storage Class

12 - Non Combustible Liquids

wgk

WGK 1

flash_point_f

Not applicable

flash_point_c

Not applicable


Certificates of Analysis (COA)

Search for Certificates of Analysis (COA) by entering the products Lot/Batch Number. Lot and Batch Numbers can be found on a product’s label following the words ‘Lot’ or ‘Batch’.

Already Own This Product?

Find documentation for the products that you have recently purchased in the Document Library.

Visit the Document Library

Disulfide-bonded multimers of proteoglycan 4 PRG4 are present in normal synovial fluids.
Schmidt, TA; Plaas, AH; Sandy, JD
Biochimica et Biophysica Acta null
David C Browe et al.
Materials today. Bio, 16, 100343-100343 (2022-07-23)
Articular cartilage defects fail to heal spontaneously, typically progressing to osteoarthritis. Bone marrow stimulation techniques such as microfracture (MFX) are the current surgical standard of care; however MFX typically produces an inferior fibro-cartilaginous tissue which provides only temporary symptomatic relief.
Guido Carpino et al.
Clinical proteomics, 16, 37-37 (2019-11-07)
Intrahepatic cholangiocarcinoma (iCCA) is a malignancy that arises from the intrahepatic biliary tree, showing high mortality rates due to its late clinical presentation and limited treatment options. iCCA is characterized by a dense, reactive desmoplastic stroma marked by a dramatic

Global Trade Item Number

SKUGTIN
MABT40004055977112054

Our team of scientists has experience in all areas of research including Life Science, Material Science, Chemical Synthesis, Chromatography, Analytical and many others.

Contact Technical Service