Skip to Content
Merck

HPA012783

Anti-DPEP1 antibody produced in rabbit

Prestige Antibodies® Powered by Atlas Antibodies, affinity isolated antibody, buffered aqueous glycerol solution

Synonym(s):

Anti-Dehydropeptidase-I, Anti-Dipeptidase 1 precursor, Anti-Microsomal dipeptidase, Anti-Renal dipeptidase, Anti-hRDP

Sign In to View Organizational & Contract Pricing.

Select a Size


About This Item

UNSPSC Code:
12352203
NACRES:
NA.41
Human Protein Atlas Number:
Conjugate:
unconjugated
Clone:
polyclonal
Application:
IF, IHC, WB
Citations:
9
Technical Service
Need help? Our team of experienced scientists is here for you.
Let Us Assist
Technical Service
Need help? Our team of experienced scientists is here for you.
Let Us Assist

biological source

rabbit

Quality Level

conjugate

unconjugated

antibody form

affinity isolated antibody

antibody product type

primary antibodies

clone

polyclonal

product line

Prestige Antibodies® Powered by Atlas Antibodies

form

buffered aqueous glycerol solution

species reactivity

human

enhanced validation

recombinant expression
independent
orthogonal RNAseq
Learn more about Antibody Enhanced Validation

technique(s)

immunofluorescence: 0.25-2 μg/mL, immunohistochemistry: 1:1000-1:2500, western blot: 0.04-0.4 μg/mL

immunogen sequence

SLIGVEGGHSIDSSLGVLRALYQLGMRYLTLTHSCNTPWADNWLVDTGDSEPQSQGLSPFGQRVVKELNRLGVLIDLAHVSVATMKATLQLSRAPVIFSHSSAYSVCASRRN

UniProt accession no.

shipped in

wet ice

storage temp.

−20°C

target post-translational modification

unmodified

Gene Information

human ... DPEP1(1800)

Looking for similar products? Visit Product Comparison Guide

General description

Dipeptidase 1 (DPEP1) is present in the kidney membrane. It contains 411 residues and a signal peptide of 16 residues is located at the carboxyl terminus. The gene encoding this protein is located on chromosome 16q24.3.

Immunogen

Dipeptidase 1 precursor recombinant protein epitope signature tag (PrEST)

Application

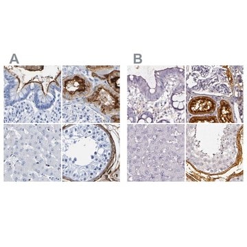
Anti-DPEP1 antibody produced in rabbit, a Prestige Antibody, is developed and validated by the Human Protein Atlas (HPA) project . Each antibody is tested by immunohistochemistry against hundreds of normal and disease tissues. These images can be viewed on the Human Protein Atlas (HPA) site by clicking on the Image Gallery link. The antibodies are also tested using immunofluorescence and western blotting. To view these protocols and other useful information about Prestige Antibodies and the HPA, visit sigma.com/prestige.

Biochem/physiol Actions

Dipeptidase 1 (DPEP1) hydrolyzes a variety of dipeptides and is highly expressed in colon tumors. It functions in the renal metabolism of glutathione and its conjugates, and also hydrolyzes β-lactam antibiotics. DPEP1 expression in cells and tissues inhibits tumour cell invasiveness in pancreatic ductal adenocarcinoma.

Features and Benefits

Prestige Antibodies® are highly characterized and extensively validated antibodies with the added benefit of all available characterization data for each target being accessible via the Human Protein Atlas portal linked just below the product name at the top of this page. The uniqueness and low cross-reactivity of the Prestige Antibodies® to other proteins are due to a thorough selection of antigen regions, affinity purification, and stringent selection. Prestige antigen controls are available for every corresponding Prestige Antibody and can be found in the linkage section.

Every Prestige Antibody is tested in the following ways:
  • IHC tissue array of 44 normal human tissues and 20 of the most common cancer type tissues.
  • Protein array of 364 human recombinant protein fragments.

Physical form

Solution in phosphate-buffered saline, pH 7.2, containing 40% glycerol and 0.02% sodium azide

Other Notes

Corresponding Antigen APREST71250

Legal Information

Prestige Antibodies is a registered trademark of Merck KGaA, Darmstadt, Germany

Disclaimer

Unless otherwise stated in our catalog or other company documentation accompanying the product(s), our products are intended for research use only and are not to be used for any other purpose, which includes but is not limited to, unauthorized commercial uses, in vitro diagnostic uses, ex vivo or in vivo therapeutic uses or any type of consumption or application to humans or animals.

Not finding the right product?  

Try our Product Selector Tool.

Storage Class

10 - Combustible liquids

wgk

WGK 1

flash_point_f

Not applicable

flash_point_c

Not applicable

ppe

Eyeshields, Gloves, multi-purpose combination respirator cartridge (US)


Choose from one of the most recent versions:

Certificates of Analysis (COA)

Lot/Batch Number

It looks like we've run into a problem, but you can still download Certificates of Analysis from our Documents section.

If you need assistance, please contact Customer Support

Already Own This Product?

Find documentation for the products that you have recently purchased in the Document Library.

Visit the Document Library

Kazunoshin Tachibana et al.
Biomedical reports, 6(4), 423-428 (2017-04-18)
Dipeptidase 1 (DPEP1) is a zinc-dependent metalloproteinase that is fundamental in glutathione and leukotriene metabolism.
H Nakagawa et al.
Cytogenetics and cell genetics, 59(4), 258-260 (1992-01-01)
Renal dipeptidase (DPEP1) or dehydropeptidase-I (E.C.3.4.13.11) is a kidney membrane enzyme which hydrolyzes a variety of dipeptides. DPEP1 is implicated in the renal metabolism of glutathione and its conjugates and is also responsible for hydrolysis of beta-lactam antibiotics. Using a
Takako Okamoto et al.
Modern pathology : an official journal of the United States and Canadian Academy of Pathology, Inc, 24(2), 267-276 (2010-11-16)
Distinguishing primary mucinous ovarian cancers from ovarian metastases of digestive organ cancers is often challenging. Dipeptidase 1 was selected as the candidate novel marker of colorectal cancer based on an analysis of a gene expression microarray. Immunohistochemical analysis indicated that
P A Eisenach et al.
British journal of cancer, 109(3), 694-703 (2013-07-11)
Colorectal cancer (CRC) is the second leading cause of cancer-related deaths worldwide. Improvements in the understanding of its molecular mechanism and the characterisation of CRC-specific biomarkers facilitating early detection are considered to increase overall survival. A meta-analysis of microarray and
H Adachi et al.
The Journal of biological chemistry, 265(7), 3992-3995 (1990-03-05)
Two cDNA clones corresponding to human microsomal dipeptidase (MDP, formerly referred to as dehydropeptidase-I or renal dipeptidase (EC 3.4.13.11] were isolated from human placental and renal cDNA libraries employing rapid amplification of cDNA ends strategy. The complete amino acid sequence

Our team of scientists has experience in all areas of research including Life Science, Material Science, Chemical Synthesis, Chromatography, Analytical and many others.

Contact Technical Service